Jasno
17°
Bratislava
Marek
25.4.2026
Slovenským vedcom sa podaril vizualizovať koronavírus, pozrite si ako vyzerá
Zdielať na

Slovenským vedcom sa podaril vizualizovať koronavírus, pozrite si ako vyzerá

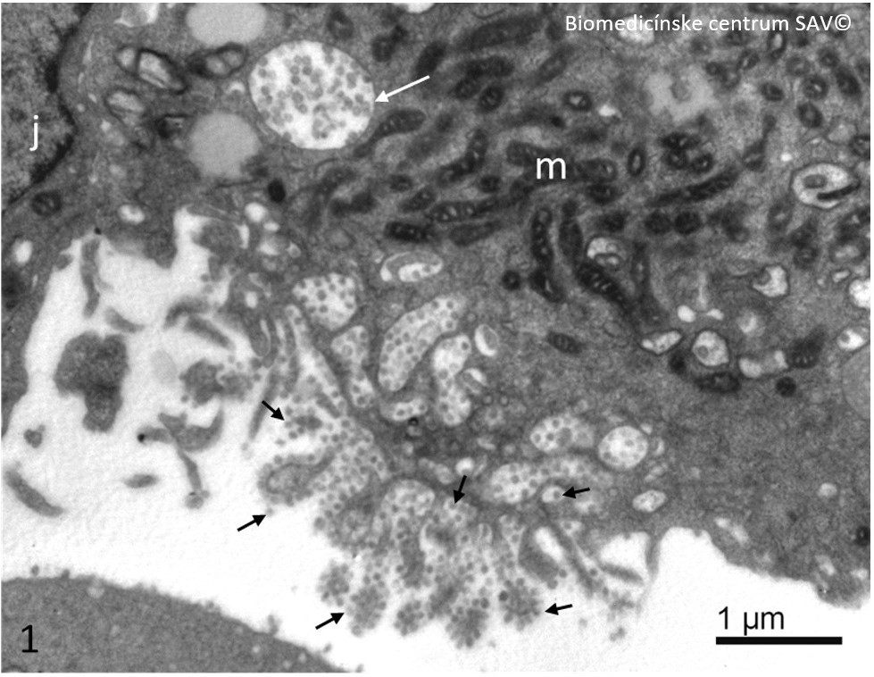
BRATISLAVA / Vedcom z Biomedicínskeho centra SAV sa podarilo vizualizovať vírusové častice nového koronavírusu SARS-CoV-2 izolované zo slovenských pacientov s COVID-19. Vďaka tomuto úspešnému pokusu sa vedcom aj verejnosti naskytol pohľad na "slovenský vírus".

Vedcom z Biomedicínskeho centra SAV sa to podarilo pomocou elektrónovej mikroskopie. Získané obrazové dáta sa v súčasnosti analyzujú s cieľom detailného pochopenia jednotlivých krokov interakcie vírusu s infikovanými hostiteľskými bunkami.

"Získané obrazové dáta sa v súčasnosti analyzujú s cieľom detailného pochopenia jednotlivých krokov interakcie vírusu s infikovanými hostiteľskými bunkami," informovalo SAV. 
Na obrázku č. 1 sú vidieť vírusové častice SARS CoV-2 na povrchu bunky v oblasti aktívnej plazmalémy (krátke šípky) a vo vakuole cytosólu bunky (biela šípka). j – bunkové jadro, m – mitochondrie⁠

SAV

Obr.2: Detail vírusových častíc (biele hviezdičky). Šípky – glykoproteínové výbežky (tzv. Spike protein) na povrchu vírusových častíc, voči ktorému je zacielená väčšina vyvíjaných vakcín. (50 nm=0,00000005 m)⁠

SAV

Súvisiace články